Goan Women Entrepreneurs Quietly Transforming the Market
Goa is famous for its beaches, tourism, susegad lifestyle, heritage sites, and warm culture. However...
About Us
At Andrade’s Dental Care, we represent the perfect amalgamation of dentistry and technology. Our mission is to deliver superior oral healthcare by combining decades of clinical expertise with the latest innovations in dental technology. The result is dentistry that is more precise, more efficient, and more comfortable than ever before—helping our patients achieve and maintain healthy, beautiful smiles.
Since our inception, we have continually embraced rapid technological advancements in dental equipment and treatment methods. This dedication to innovation, paired with our strong foundation of clinical experience, ensures that every treatment is tailored to provide long-lasting results with maximum patient comfort. Our goal is simple yet powerful: to create the perfect recipe for the perfect smile.
Who We Are
Our team of highly qualified and compassionate dental professionals brings together expertise across orthodontics, diagnostics, and restorative dentistry:
Dr. Neil David Andrade – Orthodontist
Dr. Dinesh John – Senior Consultant
Dr. Pearl Fernandes – Orthodontist
Together, they form a team that prioritizes sound diagnosis, procedural precision, and patient-first care. Each patient benefits from individualized treatment plans that balance clinical excellence with the latest technology.
Pioneering Digital Dentistry in Goa
Andrade’s Dental Care has been at the forefront of digital dentistry in Goa, introducing state-of-the-art tools that redefine how dental care is delivered.
3Shape Trios Intraoral Scanner
We are proud to introduce patients to the future of dentistry with the 3Shape Trios Intraoral Scanner. This advanced tool allows us to create highly accurate digital impressions, replacing the discomfort of traditional molds. Patients can view their unique dentition in real time, giving them better understanding and control over their treatment journey.
Invisalign iTero Element 5D Imaging System
As pioneers in Goa, we use the iTero Element 5D system to revolutionize treatment planning. With real-time simulations, patients can see how their smiles will transform in just minutes. The system also provides TimeLapse technology, enabling precise comparisons of diagnostic, restorative, or orthodontic progress over time. This not only enhances transparency but also empowers patients to make informed decisions.
Our Vision
Our vision is to become the preferred dental care provider in Goa by offering conservative and need-based dentistry. We believe in preserving natural teeth whenever possible and using the most advanced, patient-friendly methods available. Staying updated with both clinical knowledge and modern dental technology, we continue to raise the bar for dental excellence.
Problems We Solve
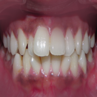
At Andrade’s Dental Care, our primary speciality is orthodontics—helping patients achieve straight, healthy smiles without unnecessary extractions or replacements. Whether using traditional metal braces, ceramic braces, or advanced Invisalign (clear aligners), we design treatments that move teeth into alignment while preserving their natural structure.
Common dental challenges we solve include:
Misaligned or crooked teeth.
Bite irregularities (overbite, underbite, crossbite).
Gaps between teeth.
Discomfort from improper dental alignment.
Aesthetic concerns affecting confidence.
Our approach is not only cosmetic but also functional, ensuring long-term oral health and patient satisfaction.
Why Choose Andrade’s Dental Care?
Cutting-edge technology – Digital scanners, 5D imaging, and advanced diagnostic tools.
Experienced orthodontic specialists – Skilled in both traditional and modern alignment techniques.
Patient-first approach – Treatments customized to individual needs and comfort.
Focus on preservation – We prioritize keeping your natural teeth over replacements.
Transparent planning – With 3D simulations, you see your future smile before treatment begins.
Trusted by families – Known for compassionate, professional, and precise care.
Creating Confident Smiles in Goa
With orthodontics as our core speciality, our passion lies in giving patients the confidence to smile without hesitation. By leveraging technology and clinical expertise, we ensure treatments are faster, more accurate, and more predictable. Our philosophy of combining the art of dentistry with the power of innovation has made Andrade’s Dental Care a household name for anyone seeking advanced orthodontic and dental care in Goa.
Whether you’re looking to straighten your teeth, restore your smile, or simply improve oral health, Andrade’s Dental Care is your trusted partner on the journey to a healthier, brighter future.
Goa is famous for its beaches, tourism, susegad lifestyle, heritage sites, and warm culture. However...
Goa is changing.And at the center of this change are small local businesses thriving in Goa like nev...
Goa is changing.But it is not losing itself. In 2026, the blend of Goa culture and modern business i...